Bowers & Oki Family Dentistry
  • What Our Patients Are Saying About Us

    "From the minute you walk in the door until you leave the office - a positive experience! Professional and hospitable. Highly recommend this practice" - L&GW

  • What Our Patients Are Saying About Us

    "As always, very excellent and professional service. We are very happy that Drs. Bowers and Oki took over this dental practice. We were patients of Dr. Cullen for so many years and were just happy to know that the same kind of professionalism is still with this office, with both the doctors, Mary, Cece and all the staff. Thanks" - Del

  • What Our Patients Are Saying About Us

    "Excellent dental care with a gentle, caring and professional approach. Be it a routine cleaning or repairing an old filling I have always felt comfortable and cared for. I wouldn't think of going anywhere else!" - P Gonzalez

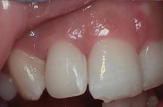
Implants

Patient was missing her lateral incisor and had an implant placed. We did some gingival contouring to create a natural looking appearance to the gum, and created a crown to replace the missing tooth.

Related Services:

Dental Implants
Have Questions? Get in Touch
If you have difficulty using our website, please email us or call us at (505) 884-6408